Boneyards Claims Kelly
Tuesday 18 July 2017 Eina! Kelly Slater snapped three bones in his foot surfing aptly named Boneyards in cranking J-Bay yesterday and is on a flight home for surgery. Photos Sean Thompson and WSL

BROKEN FOOT: Kelly Slater is helped ashore after the accident. Photo Sean Thompson
Slater will be out for at least six weeks and sadly the 11-time champion is going to miss the event he won last year, the Billabong Pro Tahiti at Teahupo'o from August 11 to 22 and you also have to think he'll miss Hurley Pro at Huntington from September 6 to 17. Broken bones in a foot need proper time to heal, and he may be out for up to three months.
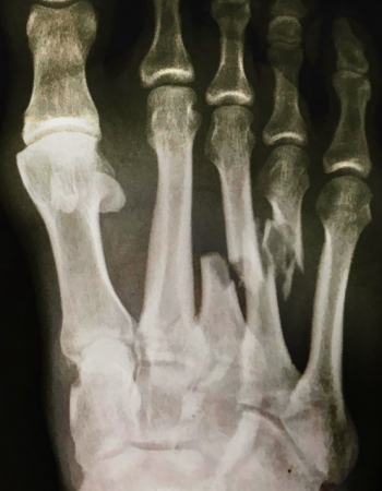
He posted dejectedly on Instagram that surgery and a six week holiday were in order after snapping three bones that will require some delicate work and some metal reinforcement.

GROUNDED: Kelly will miss his two favourite events, JBay and Chopes Photo WSL / Sherman

"You ever folded your entire foot backwards? If you try it sometime, this is what it might look like. I pulled into a barrel this morning and the whitewash bounced the board back into my foot as I hit the closeout, taking all the pressure into the metatarsals. Kinda like smashing my foot with a big hammer as hard as I can. Sorta feels like I'm giving birth out of my foot right now!
"I'm guessing surgery and 6 week holiday is in order. Not looking forward to 30 hour flight home before surgery though. Ouch! It sucks but so many people deal with such horrible things around this world everyday that a broken foot is pretty minor in the scheme of things. Sometimes a bad thing is a good thing. I'll make the best of my time off. #ThatsGonnaLeaveAMark #INeedElephantTranquilizers," he wrote on Instagram.
It's a real pity for Slater. He's not getting any younger (45) and he was doing really well this year, even looking like a contender for a 12th world title.
J-Bay and Chopes are two of his favourite events. He was surfing really well, and had made a great start at the Corona Open J-Bay, winning his Round 1 heat against Julian Wilson and Kanoa Igarashi for a direct path to Round Three.
A lot of people's Fantasy Surfer picks will also be taking a bit of a knock.

BREAKING WAVE: Even the best get bad luck. The offending barrel. Photo Sean Thompson

